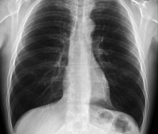
Doktori Besim Bytyqi i cili punon në spitalin e Covid’it në Ferizaj, ka publikuar në rentgen të mushkërive duke treguar se si koronavirusi i dëmton ato. Ai ka bërë të ditur se rentgeni është i një 30 vjeçari dhe nuk ka pasur asnjë sëmundje tjetër shoqëruese.
Me anë të një shkrimi në Facebook, doktori kosovar Besim Bytyqi ka thënë se shumica e njerëzve po e kalojnë koronavirusin me pak simptoma, mirëpo një pjesë e tyre po luftojnë në mes jetës dhe vdekjes.
Tutje ai ka thënë se nuk dëshiron të bëj panik, por që po flet nga përvoja e përditshme në punën që është duke e bërë në spitalin e Covid’it në Feriaz.
”Kjo sëmundje nuk pyet moshë. Aty kemi të hospitalizuar njerëz të kategorive të ndryshme, pleq djem e vajza edhe të reja, në mesin e tyre edhe mjekë dhe infermier”, ka shkruar ai.
Tutje ai ka publikuar një rentgen të mushkërive ku shihet se si koronavirus i ka sulmuar ato, transmeton Gazeta Metro.
”Shikoni një rentgen të mushkërive si është katandisur nga ky virus. Ky rentgen nuk është i një plaku 90 vjeçar, por i një të riu nën moshën 30 vjeçar që më herët nuk ka pasur kurrfarë sëmundje shoqëruese”, ka shkruar ai.
Më poshtë keni rentgenin e publikuar nga doktori Bytyqi si dhe një rentgen që tregon se si duhet të jenë në gjendje normale mushkëritë.

https://www.facebook.com/tel.045977399/photos/a.1366459260162668/1840611122747477/?type=3