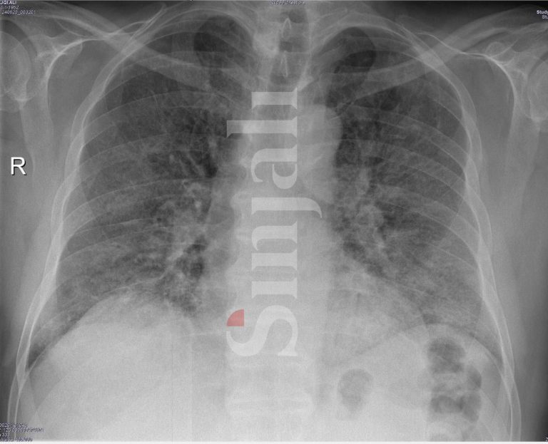
Koronavirusi ka dëmtuar rëndë mushkëritë e një 63-vjeçari nga Kosova.
Gazeta Sinjali ka arritur t’i sigurojë Rentgenin e mushkërive të një 63-vjeçari, të cilat ishin të dëmtuara rëndë në më pak se 12 orë.
Fotografia e parë është në momentin kur është pranuar në spital, ndërsa fotografia e dytë është dëmtimi i mushkërive në më pak se 12 orë.
Sot në Kosovë janë konfirmuar 96 raste me COVID-19 dhe deri sot 48 kanë vdekur.

